C’è un virus di cui non hai mai sentito parlare che si stima infetti il ​​90% delle persone e si annidi silenziosamente nelle tue cellule per tutta la vita, ma se diventa attivo, distruggerà il tuo cervello. Se ciò non è abbastanza scioccante, I ricercatori hanno riferito questa settimana Questo potrebbe essere un nuovo modo per attivare questo virus, che colpisce fino al 10% degli adulti in tutto il mondo

Il virus è il poliomavirus umano 2, comunemente noto come virus Jesse o virus John Cunningham, dal nome del povero paziente da cui fu isolato per la prima volta nel 1971. Si trova nelle urine e nelle feci degli individui infetti e si diffonde attraverso la via oro-fecale. Si ritiene che molte persone siano infette nei primi anni di vita e le indagini sugli esami del sangue lo hanno suggerito 50-90% degli adulti è stato esposto ad un certo punto.

I ricercatori ipotizzano che il sito primario dell’infezione siano le tonsille, o forse il tratto gastrointestinale. Ma ovunque si verifichi, l’infezione iniziale è asintomatica. In quel momento, una persona viene infettata da ciò che viene chiamato Archetipo del virus JessieChe instaura silenziosamente un’infezione permanente ma assolutamente silenziosa per tutta la vita.

Per la stragrande maggioranza delle persone, questa sarà l’infezione da virus JC: silenziosa. Ma per qualche sfortunato, il virus JC sembra risvegliarsi, riorganizzare il suo materiale genetico e trasformarsi in un incubo distruttivo per il cervello che causa una malattia. Leucoencefalopatia multifocale progressiva o PML.

malattia devastante

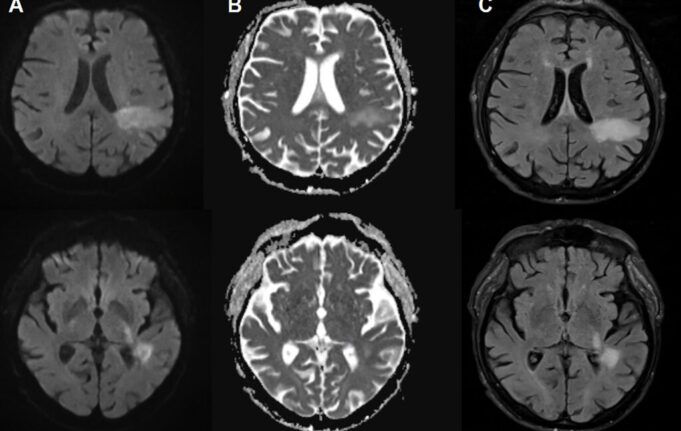
Nella PML, il nuovo virus patogeno, o virus JC “tipo PML”, attacca attivamente il cervello, distruggendo specifiche cellule cerebrali, tra cui cellule Forma la guaina mielinica isolante che protegge le cellule nervose. Ciò porta a un’estesa demielinizzazione, che porta alla disfunzione e alla morte delle cellule nervose. All’imaging, la PML può presentarsi come una lesione caratteristica nel cervello. Queste lesioni illustrate, insieme ai risultati dei test per il DNA del virus JC nel liquido cerebrospinale, rappresentano il modo in cui viene diagnosticata la PML. Ma per i pazienti affetti da leucemia promielocitica, i sintomi possono simulare qualsiasi cosa, dall’ictus alla sclerosi multipla, causando impedimenti nel linguaggio, difetti visivi, disfunzione motoria e convulsioni.

La PML fu identificata per la prima volta nel 1958 in un malato di cancro. Ma era considerata una condizione estremamente rara fino agli anni ’80, quando cominciò a essere osservata nei pazienti affetti da HIV/AIDS. In effetti, la leucemia promielocitica è diventata una malattia che definisce l’AIDS, con il 2-5% dei pazienti affetti da HIV che la sviluppano durante le prime fasi dell’epidemia. A quel tempo, la situazione era uniformemente disastrosa. Ma con l’introduzione della terapia antiretrovirale altamente attiva (HAART) nel 1996, i casi di PML sono diminuiti e la malattia non rappresentava più una condanna a morte, sebbene i sopravvissuti spesso subiscano danni significativi a lungo termine.

Collegamento alla fonte